Pneumonia Dog Lung Cancer Xray : The Benefit Of Three View And Left Lateral Thoracic And Abdominal Radiographs Tips For Taking Radiographs In Your Veterinary Practice 2 Important Tips For Taking X Rays In Your Veterinary Practice Tips For Taking X Rays / Pneumonia in dogs can have different causes:
Dapatkan link
Facebook
X
Pinterest
Email
Aplikasi Lainnya
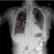
Pneumonia Dog Lung Cancer Xray : The Benefit Of Three View And Left Lateral Thoracic And Abdominal Radiographs Tips For Taking Radiographs In Your Veterinary Practice 2 Important Tips For Taking X Rays In Your Veterinary Practice Tips For Taking X Rays / Pneumonia in dogs can have different causes:. Lung cancer often misdiagnosed as pneumonia urges requests for second medical opinions. Signs of the primary tumors in dogs. Typical signs of bacterial pneumonia include fever, difficulty breathing, lethargy and coughing. The first of these possibilities could be investigated by bronchoscopy. The second kind of lung cancer in dogs is called metastatic lung cancer, which means the cancer originated somewhere else in the body, but has spread to the lung.
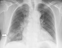
X rays are very helpful in the diagnosis of lung cancer in dogs. If you have lung cancer, it may be more difficult for your doctor to diagnose pneumonia. A white spot amidst the normal black lungs can therefore be a cancer, infection. Dog pneumonia or lung cancer. Pneumonia is a lung infection that leads to breathing difficulties and fluid in the lungs.
Aspiration Pneumonia In Dogs Central Toronto Veterinary Referral Clinic from ctvrc.ca A definitive diagnosis of lung cancer requires a sample of tissue (biopsy). Pneumonia is a lung infection that leads to breathing difficulties and fluid in the lungs. But in some rare cases, it may be a lung cancer (primary or secondary). My dog had pneumonia come on quickly this last august, we took her to the local er at 3am when we noticed her breathing labored and strange behavior. X rays are very helpful in the diagnosis of lung cancer in dogs. Typical signs of bacterial pneumonia include fever, difficulty breathing, lethargy and coughing. A retrospective study of 1011 hospitalized patients with pneumonia was undertaken to assess the value of routine convalescent chest radiography for detection of underlying lung cancer. The bronchioles end in the small sacs called.
Lung cancer often misdiagnosed as pneumonia urges requests for second medical opinions.
A definitive diagnosis of lung cancer requires a sample of tissue (biopsy). X rays are very helpful in the diagnosis of lung cancer in dogs. Primary lung cancer are frequently located in the caudal (towards the hind end of the pet) lung lobes, however can be located in any lung lobe and are usually a single mass in the lungs, unless the tumor has spread. If your dog has a chronic cough, you'll need to rule these out. The first of these possibilities could be investigated by bronchoscopy. A definitive diagnosis of lung cancer requires a sample of tissue (biopsy). The second kind of lung cancer in dogs is called metastatic lung cancer, which means the cancer originated somewhere else in the body, but has spread to the lung. Bacterial pneumonia is an inflammation of the lung usually caused by bacterial or viral infection but can be caused by inhalation of an irritant. The respiratory system consists of the large and small airways and the lungs. Lung cancer is actually the number one killer when it comes to cancers. But in some rare cases, it may be a lung cancer (primary or secondary). In both cases, you may have. Typical signs of bacterial pneumonia include fever, difficulty breathing, lethargy and coughing.
Various viruses, bacteria, and fungi can cause pneumonia. Malignant tumors trigger inflammation in surrounding normal lung tissue, and they may obstruct. In both cases, you may have. However, some dogs only experience weight loss (despite a good appetite) and/or lack of energy. This is not to say the effects on a loved dog's body are the same as an infection.
Pneumothorax Wikipedia from upload.wikimedia.org Your exam and imaging findings will already be abnormal if you have lung cancer. The second kind of lung cancer in dogs is called metastatic lung cancer, which means the cancer originated somewhere else in the body, but has spread to the lung. Lung cancer develops due to the overgrowth of. My dog had pneumonia come on quickly this last august, we took her to the local er at 3am when we noticed her breathing labored and strange behavior. Malignant tumors trigger inflammation in surrounding normal lung tissue, and they may obstruct. Typical signs of bacterial pneumonia include fever, difficulty breathing, lethargy and coughing. A definitive diagnosis of lung cancer requires a sample of tissue (biopsy). Everybody still looks at lung cancer as a smoker's disease, but i never smoked.
Persistent chest infections can be signs of something more serious than pneumonia, and unfortunately, it.
Primary lung cancer are frequently located in the caudal (towards the hind end of the pet) lung lobes, however can be located in any lung lobe and are usually a single mass in the lungs, unless the tumor has spread. My dog had pneumonia come on quickly this last august, we took her to the local er at 3am when we noticed her breathing labored and strange behavior. A white spot amidst the normal black lungs can therefore be a cancer, infection. Signs of the primary tumors in dogs. I haven't touched cigarettes a day in my life. Lung cancer often misdiagnosed as pneumonia urges requests for second medical opinions. Lung cancer is actually the number one killer when it comes to cancers. A definitive diagnosis of lung cancer requires a sample of tissue (biopsy). His appetite is basically normal though his blood work shows that he is anemic. 3 doctors agree send thanks to the doctor Other common respiratory diseases that might make you worried about cancer are …. Malignant tumors trigger inflammation in surrounding normal lung tissue, and they may obstruct. Pneumonia and lung cancer both affect the lungs but one is easily treatable and the other is potentially life threatening.
However, some dogs only experience weight loss (despite a good appetite) and/or lack of energy. In both cases, you may have. Pneumonia in dogs can have different causes: Often, people with recurrent bouts of pneumonia tend to have unidentified lung cancer that can progress to advanced stages without appropriate treatment. Malignant tumors trigger inflammation in surrounding normal lung tissue, and they may obstruct.
Deep Convolutional Neural Network With Transfer Learning For Detecting Pneumonia On Chest X Rays Springerlink from media.springernature.com Often, people with recurrent bouts of pneumonia tend to have unidentified lung cancer that can progress to advanced stages without appropriate treatment. A white spot amidst the normal black lungs can therefore be a cancer, infection. Here's why cancer can look like an infection: Persistent chest infections can be signs of something more serious than pneumonia, and unfortunately, it. A retrospective study of 1011 hospitalized patients with pneumonia was undertaken to assess the value of routine convalescent chest radiography for detection of underlying lung cancer. The first of these possibilities could be investigated by bronchoscopy. But the pneumonia density can obscure, or be distal to a cancer. Typical signs of bacterial pneumonia include fever, difficulty breathing, lethargy and coughing.
A definitive diagnosis of lung cancer requires a sample of tissue (biopsy).
Bronchoscopy would also provide the opportunity to biopsy the lung and obtain mucous from the lung for. Other common respiratory diseases that might make you worried about cancer are …. As these can also be caused by other disease, diagnostics include a full physical exam, blood work, radiographs, and may also require bronchoscopy with. If you have lung cancer, it may be more difficult for your doctor to diagnose pneumonia. Lung cancer develops due to the overgrowth of. Lung cancer often misdiagnosed as pneumonia urges requests for second medical opinions. To investigate the mode of clinical onset of pulmonary carcinoma, 232 inpatients with this diagnosis were also stud … The respiratory system consists of the large and small airways and the lungs. A retrospective study of 1011 hospitalized patients with pneumonia was undertaken to assess the value of routine convalescent chest radiography for detection of underlying lung cancer. Pneumonia and lung cancer both affect the lungs but one is easily treatable and the other is potentially life threatening. Your veterinarian may recommend an fna and cytology or a biopsy, to confirm the diagnosis, and determine exactly what kind of lung cancer is present. Persistent chest infections can be signs of something more serious than pneumonia, and unfortunately, it. This is not to say the effects on a loved dog's body are the same as an infection.
(dan ia berkata) yakni nabi nuh (naiklah kamu sekalian ke dalamnya dengan menyebut nama allah di waktu berlayar dan berlabuhnya. Naiklah kamu sekalian ke dalamnya dengan menyebut nama allah di waktu berlayar dan berlabuhnya. Bacaan surat hud lengkap, arab, latin, dan terjemahan artinya (tafsir) bahasa indonesia. Baca surat hud lengkap bacaan arab, latin & terjemah indonesia. Dan dia berkata, "naiklah kamu semua ke dalamnya (kapal) dengan (menyebut) nama allah pada waktu berlayar dan berlabuhnya. âTajwid surat Al Baqarah ayat 42 from 1.bp.blogspot.com (dan ia berkata) yakni nabi nuh (naiklah kamu sekalian ke dalamnya dengan menyebut nama allah di waktu berlayar dan berlabuhnya. Sesungguhnya tuhanku maha pengampun, maha penyayang." (qs. Kapal mengarungi lautan banjir bandang. Bacaan surat hud lengkap, arab, latin, dan terjema...
How To See If You Have Cervical Cancer : » What You Need to Know About Cervical Cancer | CANSA ... - If they occur, early symptoms may include vaginal bleeding, discharge, and pelvic pain. . In fact, a woman may experience these symptoms for many reasons. See our disclaimer about external links and our quality guidelines. How is cervical cancer diagnosed? If cervical cancer is suspected, you will usually be referred for colposcopy. If you have an abnormal pap test or positive hpv test result, your doctor or nurse may suggest more tests or treatment. If you are ready to make an appointment, select a button on the right. See the staging section for information about cervical cancer that has spread. In addition to the questions that. Anyone who experiences any of these symptoms should see a doctor. Of itself really the most common warning sign or symptom from that really is abnormal bleeding. ...
How To Make A Playing Card Dress / Teen S Dress Made From Playing Cards To Be Displayed At State Fair Youtube / Now choose your embellishments and stick them on. . If you're into tarot card reading, our personalized tarot cards maker will be a perfect addition to your professional services. This is a guide about making a playing cards costume. Make a fan from playing cards to wear with your queen of hearts costume. Glue only the outer section of the skirt down. Not many.i want a semi skinny dress with a thin waiste…i'm not experienced (11 yrs old) so i need help! Color=#ff0000]bupdate:/b/color i recently developed a variation on this method that produces better cards than the method outlined here. Print your game cards with the best. A skirt, a coconut bra style top and a cente. You can see the details. Today we're going to make a quick and easy playing card holder using free materials you already have on hand. ...
Komentar
Posting Komentar